Co je to pulpita? Všechno, co potřebujete vědět o bolesti předních zubů

Co je to pulpita? Všechno, co potřebujete vědět o bolesti předních zubů
  • 20 bře 2026
  • 0 Komentáře

Pulpitis Příznakový Test

Tento nástroj vám pomůže zjistit, zda vaše bolest zubu odpovídá příznakům pulpity. Pokud máte 3 nebo více příznaků, je třeba okamžitě navštívit zubního lékaře.

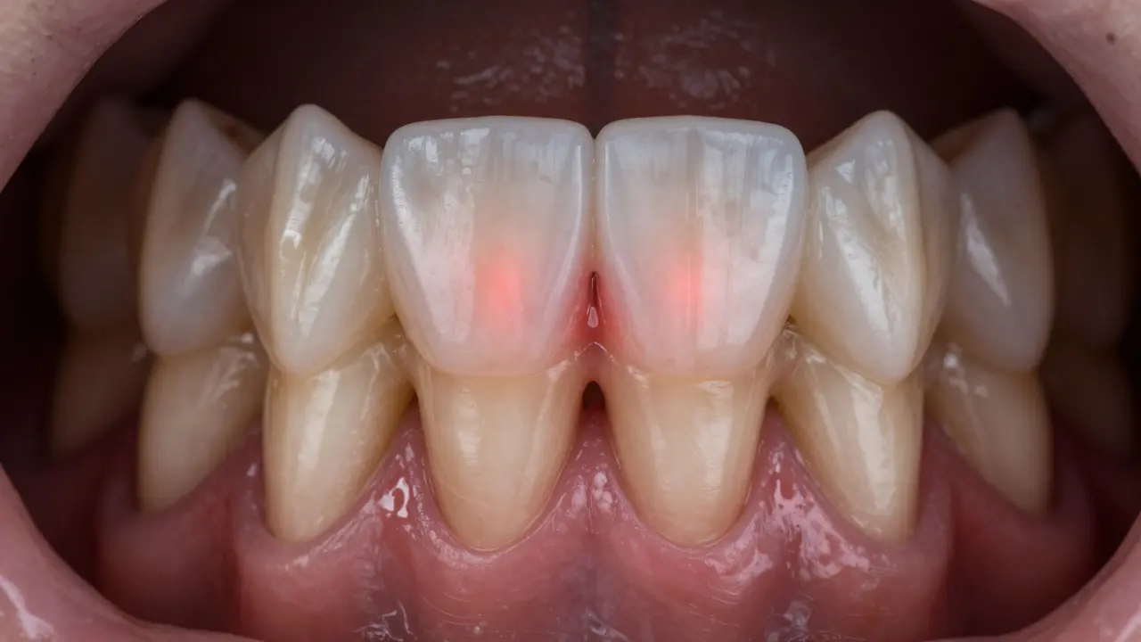
Pulpita není jen bolest. Je to vážný signál, že váš zub je v nebezpečí. A pokud jste si všimli, že vám přední zuby bolí při jídle, pítí studeného nápoje nebo dokonce když jen dechnete - nejedná se o náhodnou nepříjemnost. Je to pravděpodobně pulpita. A to není něco, co si můžete dovolit ignorovat.

Co vlastně pulpita je?

Pulpita je zánět pulpy vnitřní části zubu, která obsahuje nervy, cévy a tkáně. Když se zubní kaz dostane hluboko do zubu, bakterie proniknou do pulpy (tzv. zubního nervu) a způsobí zánět. To je přesně to, co se stane u předních zubů - ty mají menší a tenčí sklovinku, takže kaz se dostane rychleji k nervu.

Na rozdíl od běžného zubního kazu, kdy bolest přichází jen při stimulaci (teplé, studené, sladké), pulpita způsobuje bolest i bez jakéhokoli podnětu. Může to být třeba bolest, která vás probudí v noci, nebo trvalý tlak v oblasti zubu, který se nechce zklidit.

Proč přední zuby?

Přední zuby - řezáky aštěly - jsou často první, které trpí. Proč? Protože jsou nejvíce vystavené. Při jídle, mluvení, dokonce i při štětění se o ně třou. Když se na ně vytvoří malý kaz, není tam moc místa na obranu. Kromě toho mají jednu hlavní cévu, která vede do zubního nervu. Když se ta céva zatíží zánětem, celý zub „zakřičí“.

Často se stává, že lidé přijdou k zubnímu lékaři s tím, že „má bolest v předních zubech“, ale nevědí, co to je. A právě tohle je klasický případ pulpity - bolest, která se nechce vymazat, i když už jste si vyčistili zuby, vyměnili pastu nebo zkusili domácí léky.

Jak se to projevuje?

Pulpita má dvě hlavní formy - akutní a chronická. U předních zubů se většinou objevuje akutní.

  • Prudká, ostrá bolest - při pítí studeného nebo teplého nápoje, ale i když jste jen zavřeli rty
  • Bolest, která se prodlužuje - neustoupí, i když už není stimul
  • Bolest v noci - když ležíte, krev se více přivádí do hlavy a tlak na nerv roste
  • Bolest při kousnutí - i když zub nevykazuje viditelný kaz
  • Bolest se šíří - může se cítit i v čelisti, uchu nebo v obličeji

Je to jako když se vám vnoří do zubu hřebík - a pak ho někdo pravidelně zaklepává. A nejhorší je, že to neodpovídá tomu, co vidíte. Zub může vypadat naprosto zdravě - žádný černý skvrna, žádný dírek. Ale uvnitř už je všechno špatně.

Co to způsobuje?

Nejčastější příčina je zubní kaz pokročilý, který se dostal až do pulpy. Ale nejenom.

  • Zubní úraz - i když jste si zub nezlomili, může ho zranit náraz (třeba při sportu)
  • Neodborné léčení - pokud vám někdo před lety vyplnil zub a nebylo to důkladně, může se pod plombou rozšířit kaz
  • Bruxismus - štěkání zuby během spánku zatěžuje zuby a může způsobit mikrotrhliny, které dovolí bakteriím vstoupit
  • Chybná hygiena - nepravidelné čištění, zanedbání mezi zubních prostor

Nezapomínejte: i když si myslíte, že máte „jen“ citlivé zuby, může to být začátek pulpity. Nečekáte, dokud to bude bolet ještě víc - jde o záchranu zubu.

Pacient v zubní klinice s chladným obkladem na tváři, dentist provádí vyšetření.

Co se stane, když to ignorujete?

Pulpita není konec. Ale když ji necháte běžet, vede přímo k abscesu zánětu v kořeni zubu. A to je už jiná hra. Absces může způsobit:

  • Prudký otok tváře
  • Febrilní stav - horečku
  • Bolest, která se šíří do krku nebo očí
  • Ztrátu zubu
  • Dokonce i infekci do krve (sepsis) - vzácné, ale možné

Naše zubní klinika v Olomouci má každý měsíc 3-5 pacientů, kteří přišli příliš pozdě. Už nebylo možné zachránit zub. A teď musí mít implantát. Kdyby přišli hned, když začala bolet, mohli by mít zub - a to bez kořenového kanálu.

Co může lékař udělat?

Když přijdete na vyšetření, zubní lékař nejprve:

  1. Prozkoumá zub - vizuálně a pomocí rentgenového snímku
  2. Zjistí, zda je zánět akutní nebo chronický
  3. Testuje citlivost na teplo a studené
  4. Možná použije elektrický test - mírný proud, který ukáže, jestli nerv ještě reaguje

Pokud je pulpita v počáteční fázi, může být možné provést zachovávací léčbu (pulpotomii) - odstraní se jen část zanětené pulpy a zbytek se uzavře. Ale většinou, pokud jde o přední zuby, je nejčastější řešení kořenový kanál (endodontie).

Nebojte se toho. Dnes je to bezbolestný proces. Lékař vám zatíží zub, odstraní zanětěnou tkáň, vyčistí kanál, vymyje ho a pak ho vyplní. Zub pak zůstane na místě - a vypadá úplně stejně jako předtím. Přední zub po kořenovém kanálu může sloužit desítky let.

Co můžete udělat doma?

Domácí léky nezahájí léčbu. Ale mohou pomoci zvládnout bolest, dokud se nedostanete k lékaři.

  • Nejteplejší nápoje - používejte teplou vodu, ne horkou
  • Chladný obklad na tvář - 10 minut, 3krát denně
  • Nežvýkejte na té straně
  • Nečistěte zub štětcem - může to zhoršit bolest
  • Nezakládejte aspirin nebo jiné léky přímo na zub - to poškodí dásně

Nejhorší věc, kterou můžete udělat, je čekat. „Zatím to snesu.“ „Možná to projde.“ To nejde. Pulpita není jako kašel - nezmizí sama.

Symbolický obraz zubu s vyrůstajícím nervem a bakteriemi, noční pozadí.

Když už máte bolest, co dělat?

Nejlepší věc, kterou můžete udělat, je:

  1. Navštívit zubního lékaře do 48 hodin - nečekat týden
  2. Nevyhledávat „doušku“ na internetu - žádný domácí postup nezastaví zánět
  3. Nepřijít s obavami - každý zubní lékař ví, co dělat s pulpitou
  4. Nezatěžovat zub - nežvýkejte, nekousněte, nezakládejte víc než potřeba

Pokud už máte bolest, která vás probouzí v noci - to je signál, že je to už vážné. A nejde o to, jestli je to „jen“ přední zub. Přední zuby jsou pro vás důležité - pro hovor, pro úsměv, pro sebevědomí. Nechte je zachránit.

Co se stane po léčbě?

Po kořenovém kanálu je zub slabší. Proto je často potřeba ho ochránit korunkou (plombou, která ho celý obaluje). U předních zubů se používají keramické nebo kompozitní korunky - vypadají úplně přirozeně.

Po léčbě budete mít možná citlivost na teplotu ještě několik dní. To je normální. Ale pokud po týdnu bolest přetrvává, musíte se znovu vrátit. To znamená, že nebyl zánět úplně odstraněn.

Jak to předcházet?

Nejlepší léčba je prevence.

  • Čistěte zuby dvakrát denně - alespoň dvě minuty
  • Používejte nitě nebo ústní štětce mezi zuby
  • Navštěvujte zubního lékaře každých 6 měsíců
  • Nejedzte příliš sladkého - i když jste si zuby čistili, cukr zůstává v ústech
  • Používejte fluoridovou pastu - pomáhá odolávat kazu
  • Pokud sportujete - noste ochrannou čepeľ

Nejde o to, že byste měli mít dokonalé zuby. Jen o to, abyste je neztratili kvůli tomu, co jste mohli snadno zabránit.

Co dělat, když jste v obavách?

Pokud máte bolest, ale nejste si jistí, jestli je to pulpita - zavolejte zubnímu lékaři. Většina klinik dnes nabízí bezplatnou konzultaci. Nejde o to, jestli to je „skutečně“ pulpita. Jde o to, jestli to může být. A když je to jen citlivost - dobré. Získáte jen klid. Když to je pulpita - získáte zub.

Autor: Karolína Mrázová