Co může způsobit zánět dásní? Příčiny a co s tím dělat

Co může způsobit zánět dásní? Příčiny a co s tím dělat
  • 24 pro 2025
  • 0 Komentáře

Hodnocení rizika zánětu dásní

Zadejte, zda máte následující faktory, které mohou zvyšovat riziko zánětu dásní. Po dokončení vyplnění získáte odhad svého rizika.

Zánět dásní je běžný problém, který si většina lidí nevšíma, dokud nezačne krvácet při čištění zubů nebo nebolet při jídlu. Ale když se dásně červenají, otékají nebo krvácí, není to jen nepříjemné - je to varovný signál, že něco není v pořádku. Mnoho lidí si myslí, že to přijde jen od špatné hygieny, ale příčiny jsou složitější. A jedna z nejčastějších, kterou lidé přehlížejí, je zubní kámen pod dásní.

Zubní plak je základní původce

Vše začíná zubním plakem - ten tenký, lepkavý film bakterií, který se tvoří na zubech každý den. Pokud ho neodstraníte pravidelným čištěním a používáním nitě, začne tvrdnout. Během 2-3 dnů se plak mění na kámen, který už si nemůžete odstranit ani nejlepší kartáček. A to je právě tam, kde začínají problémy.

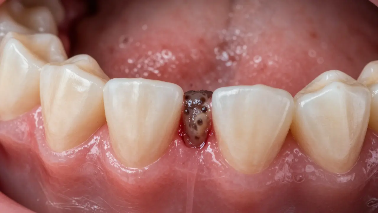
Zubní kámen se nejen hromadí na viditelných částech zubů. Často se tvoří pod dásní, v mezích mezi zubem a dásní. Tam, kde ho nevidíte, ale kde působí nejvíce škody. Bakterie v kameni uvolňují toxiny, které dráždí dásně. To způsobuje zánět - dásně se zčervenají, ztuhnou, začnou krvácet a mohou se i odtahovat od zubu.

Co je zubní kámen pod dásní a proč je hrozný?

Zubní kámen pod dásní se nazývá subgingivální kámen. Je to ten, který se tvoří hluboko v zubodásňovém vaku - prostoru mezi zubem a dásní. Zatímco kámen na povrchu zubu je vidět a můžete ho odstranit na návštěvě zubaře, ten pod dásní zůstává skrytý. A to je problém.

Pod dásní nejsou jen bakterie - tam se vytváří biofilm, který je odolný proti antiseptikům, čištění a dokonce i proti některým antibiotikům. Tento biofilm neustále uvolňuje látky, které ničí tkáně dásně a podložku zubu. V důsledku toho se dásně postupně odtahují, vznikají zubodásňové kapsy - hluboké mezery, kde se ještě více hromadí bakterie. To je začátek parodontitidy, která může vést ke ztrátě zubů.

Zubař odstraňuje zubní kámen pod dásní ultrazvukovým přístrojem.

Jiné příčiny zánětu dásní

I když zubní kámen je hlavní příčina, není jedinou. Některé faktory zvyšují riziko, i když máte dobrou hygienu:

  • Hormonální změny - během těhotenství, puberty nebo menopauzy se dásně stávají citlivějšími na bakterie. Mnoho žen si v těhotenství poprvé všimne, že jim dásně krvácí.
  • Kouření - nikotin ztěžuje krevní oběh v dásních, což zpomaluje hojení a maskuje příznaky zánětu. Kouřiči často mají zánět, ale nekrvácí - a proto ho nezpozorují, dokud není pozdě.
  • Diabetes - lidé s cukrovkou mají vyšší riziko infekcí, včetně zánětů dásní. Zánět zase zhoršuje kontrolu cukru v krvi - vzniká špatná smyčka.
  • Některé léky - léky na krevní tlak, epilepsii nebo imunosupresiva mohou způsobit růst dásní nebo zvýšit citlivost.
  • Špatná výživa - nedostatek vitamínu C (skorbut) je vzácný, ale nedostatek vitamínů B, D nebo vápníku může oslabit dásně.

Co dělat, když máte zánět dásní?

Není třeba čekat, až se to zhorší. První kroky můžete udělat hned doma:

  1. Změňte způsob čištění - používejte měkký kartáček a čistěte zuby alespoň dvakrát denně po dvě minuty. Nezapomeňte na mezery mezi zuby - používejte zubní nit nebo mezizubní kartáček.
  2. Používejte antiseptické ústní vody - ty s chlorhexidinem nebo kyselinou listovou pomáhají zmenšit bakterie. Ale ne používejte je déle než 2 týdny bez doporučení zubaře.
  3. Nečekejte na bolest - pokud dásně krvácí, i když nebolí, je to signál. Neodkládejte návštěvu zubaře.

Pokud máte zubní kámen pod dásní, domácí metody nestačí. Potřebujete profesionální čištění - tzv. skalpelování nebo ultrazvukové čištění. Zubař odstraní kámen i pod dásní, vyčistí zubodásňové kapsy a zkontroluje, zda není poškozena kost. V některých případech je potřeba i parodontologická léčba, například léčba laserem nebo chirurgie.

Skrytý biofilm pod dásní ničí kost a tkáň, způsobuje zánět a kapsy.

Když se to nezlepší

Některé osoby mají chronický zánět dásní, i když se snaží. Pokud po třech měsících pravidelné hygieny a návštěv zubaře dásně stále krvácí nebo se odtahují, je třeba se obrátit na parodontologa. To je zubař, který se specializuje na dásně a kost kolem zubů.

Parodontolog může provést:

  • podrobné měření hloubky zubodásňových kaps
  • rentgen, aby viděl, jak je poškozena kost
  • lokální podání antibiotik pod dásně
  • chirurgické zákroky, jako je odběr tkáně nebo regenerace kosti

Není to nic, co byste měli odložit. Každý rok v Česku ztratí tisíce lidí zuby kvůli nezachycenému zánětu dásní. A většinou to není způsobeno špatnou hygienou - ale tím, že se lidé nechali ošetřit příliš pozdě.

Prevence je nejlepší lék

Nejlepší způsob, jak se vyhnout zánětu dásní, je pravidelnost:

  • Čistěte zuby dvakrát denně - ráno i večer.
  • Používejte zubní nit nebo mezizubní kartáček denně.
  • Navštěvujte zubaře každých 6-12 měsíců, i když nic nebojíte.
  • Po každém jídle si opláchněte ústa vodou, pokud nemůžete čistit zuby.
  • Nezapomeňte na zdravou výživu - více zeleniny, ovoce, mléčných výrobků a méně cukru.

Pokud jste kouřák, zvážte přestání. Pokud máte cukrovku, dbávejte na její kontrolu. A pokud jste těhotná, dejte si vědomou návštěvu zubaře - nejen pro vaše zuby, ale i pro zdraví vašeho dítěte.

Může zánět dásní způsobit ztrátu zubů?

Ano, pokud se nezachytí včas. Zánět dásní se může přeměnit v parodontitidu, kdy bakterie ničí nejen dásně, ale i kost, která drží zuby. Když se kost ztrácí, zuby se začnou hýbat a nakonec padají. To je jedna z nejčastějších příčin ztráty zubů u dospělých.

Je zubní kámen pod dásní vidět?

Obvykle ne. Kámen pod dásní je skrytý a neviditelný pro běžného člověka. Zubař ho vidí pomocí zrcátek a rentgenů. Pokud máte krvácení dásní, otok nebo zápach z úst, může to být příznak, že tam kámen je - i když ho nevidíte.

Může zánět dásní ovlivnit celkové zdraví?

Ano. Bakterie z infikovaných dásní se mohou dostat do krevního oběhu a přispívat k zánětům v jiných částech těla. Výzkumy ukazují souvislost mezi zánětem dásní a rizikem srdečních onemocnění, infarktu, cukrovky i předčasných porodů. Nejde jen o zuby - jde o celé tělo.

Je čištění zubů pod dásní bolestivé?

Při hlubokém čištění může být pocit nepříjemný, ale nebolestivý. Zubař používá místní anestézii, pokud je potřeba. Většina lidí popisuje pocit jako tlak nebo lehké škrábání. Po proceduře může být dásně citlivé několik dní, ale bolest je vzácná.

Můžu si odstranit zubní kámen doma?

Ne. Domácí nástroje, jako jsou „odstraňovače kamenů“ z lékárny, mohou poškodit zuby i dásně. Kámen pod dásní je nemožné odstranit bez odborného vybavení. Pokusy o domácí odstranění mohou vést k infekci, krvácení nebo trvalému poškození dásní.

Autor: Jaroslav Kopecký